AI-RADのエンジン詳細
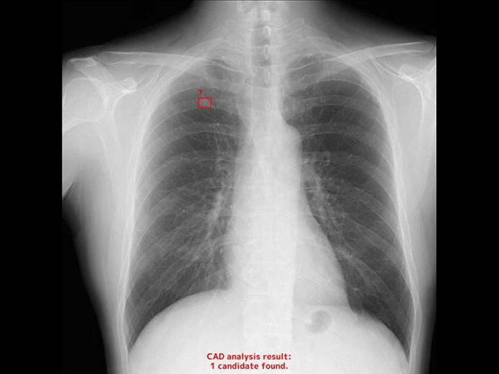
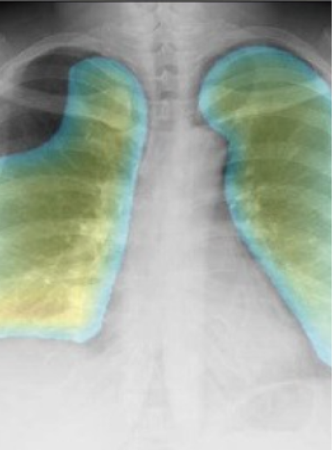
胸部CR×肺炎
DoctorNET JLK-CRP
胸部CR画像より、肺炎の確信度に応じたラベル・病変上のヒートマップを表示します
- 発熱外来での、肺炎の見落とし予防として
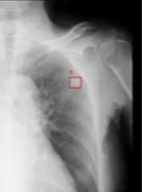
胸部CR×肺結節
EIRL Lung Nodule
胸部X線画像より、肺結節の形状に類似した領域を検出します
- クリニックで、ワンマン読影の補助として
- 検診で、膨大な読影の見落とし防止として
- 病院で、胸部が専門ではない診療科の先生の補助として
エルピクセル株式会社より提供を受けている医療機器「医用画像解析ソフトウェア EIRL X-ray Lung nodule」を搭載しております。
導入の相談はこちら胸部CT×関心領域
DoctorNET MONCAD CTLN
胸部CT画像より、肺野領域のCT値上昇領域(関心領域)を検出します
- ルーチンの検査画像の補助として
- 肺ドックの読影補助として
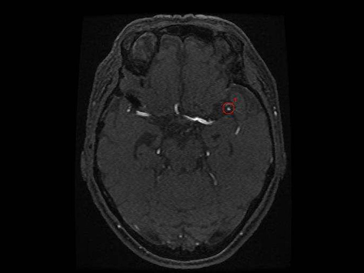
頭部MR×動脈瘤
EIRL aneurysm
頭部MRA画像より、動脈の瘤状の変形に類似した候補点を検出します
- 脳ドックの読影補助として
エルピクセル株式会社より提供を受けている医療機器「医用画像解析ソフトウェア EIRL aneurysm」を搭載しております。
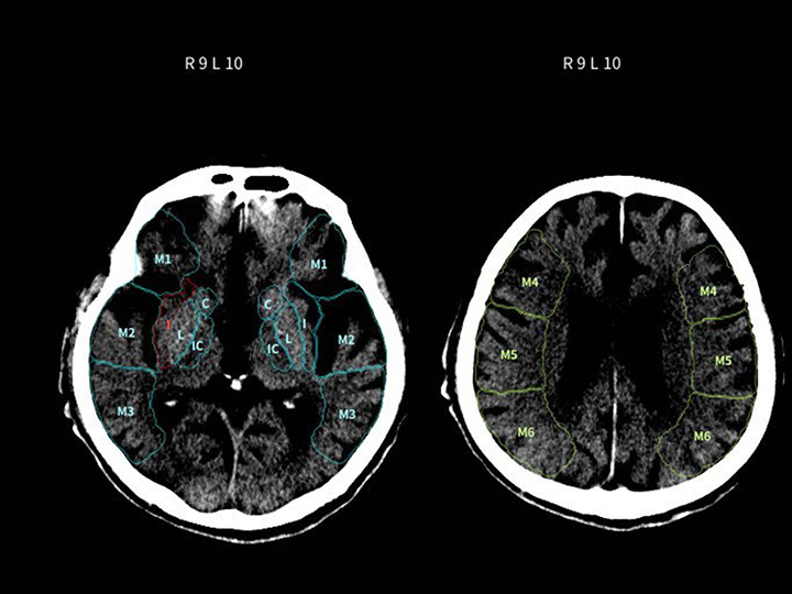
導入の相談はこちら頭部CT×高吸収/低吸収域
DoctorNET Heuron CTS
頭部非造影CT画像から、画像内の高吸収域または低吸収域を検出します
- 救急現場での読影補助として
- 頭部が専門ではない先生の補助として
料金体系
AI-RADは、1件からご利用いただける
従量課金プランを用意しております。
ご施設様の要望に合わせてお見積りいたします。
院内のどこでも、多様な
表示形式で読影を支援
AI-RADは、PACSや電子カルテとの連携により、
院内のさまざまな場所で柔軟な表示が
可能です。
AI-RADが選ばれる
4つの理由
-
国内外の様々な
エンジンを搭載国内外のAIメーカーの
エンジンを搭載。今後も更なる
エンジン拡張を行います。 -
読影支援のパイオニアが
エンジンを客観的に評価日本最大の画像診断症例数*を
誇る当社が、国内画像を用いて
AIエンジンを評価
*年間320万症例、1日9,500症例 -
AI解析の結果をすぐに
理解できるレポート表示レポートでの結果返却に
よって、
遠隔読影と同じようなフローで
利用可能 -
既存システムとの
スムーズな連携1500以上の施設で利用されてきた
遠隔読影システムの
基盤を活用。
ご導入の流れ
お問い合わせ
まずは右下のフォームより
お気軽にお問合せ下さい
お打ち合わせ
調査・お手続き
端末納品・
院内システム連携
お問い合わせフォーム
下記フォームへ必須事項をご記入の上、送信ください。
薬事情報
- 販売名
- 胸部X線肺炎検出エンジン DoctorNet JLK-CRP
- 医療機器承認番号
- 30300BZX00339000
- 一般的名称
- X線画像診断装置ワークステーション用プログラム
- クラス分類
- クラスII
- 承認年月日
- 令和3年12月9日
- 種別
- プログラム(01) 疾病診断用プログラム
- 販売名
- 胸部CT画像解析AIエンジン DoctorNET MONCAD CTLN
- 医療機器承認番号
- 307AGBZX00003000
- 一般的名称
- 汎用画像診断装置ワークステーション用プログラム
- クラス分類
- クラスII
- 承認年月日
- 令和7年1月16日
- 種別
- プログラム(01) 疾病診断用プログラム
- 販売名
- 頭部CT画像解析AIエンジン DoctorNet Heuron CTS
- 医療機器承認番号
- 307AGBZX00052000
- 一般的名称
- 汎用画像診断装置ワークステーション用プログラム
- クラス分類
- クラスII
- 承認年月日
- 令和7年10月2日
- 種別
- プログラム(01) 疾病診断用プログラム
- 販売名
- 医用画像解析ソフトウェア EIRL X-ray Lung nodule
- 医療機器承認番号
- 30200BZX00269000
- 一般的名称
- X線画像診断装置ワークステーション用プログラム
- クラス分類
- クラスII
- 承認年月日
- 令和2年8月20日
- 種別
- プログラム(01) 疾病診断用プログラム
- 販売名
- 医用画像解析ソフトウェア EIRL aneurysm
- 医療機器承認番号
- 30100BZX00142000
- 一般的名称
- MR 装置ワークステーション用プログラム
- クラス分類
- クラスII
- 承認年月日
- 令和元年9月17日 ※一部変更承認
- 種別
- プログラム(01) 疾病診断用プログラム













